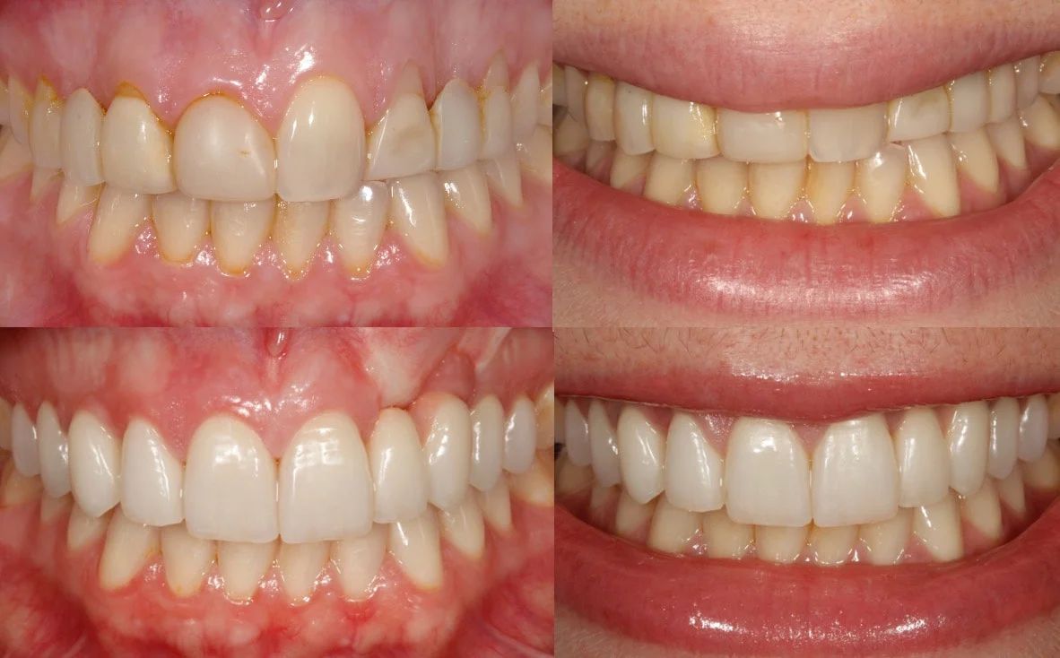
Controversies and Innovations in Implant Esthetics

Take part in a groundbreaking interactive course taught directly by Dr. Dennis P. Tarnow and Dr. Stephen J. Chu, the world's leading implant and esthetic dentists. Course tuition covers hands-on experience, coffee breaks, daily lunch and all course materials, including textbook and certificate for 18 CE credits.

Date & Time

Wednesday, November 4 — Friday, November 6, 2026

Location

1251 Avenue of the Americas (6th Ave), New York, NY, 10020, 
Conference Level

CE

18 continuing education credits

Register Now

Course intro

Dennis and Stephen give a high-level overview of the course.

 

Course outline

Wednesday
November 4, 2026

Surgical and Restorative Management of Intact (Type 1) Extraction Sockets with Dental Implants in the Esthetic Zone

Morning:

  • Flap Versus Flapless Tooth Extraction: Evidence-Based Rationale
  • Blood Supply to the Labial Plate
  • Labial Contour and Ridge Dimensional Change
  • Tooth Extraction Techniques with Specific Instrumentation
  • 3D Spatial Implant Placement within the Anterior Extraction Socket
  • The Influence of Implant Position on Restorative Emergence Profile
  • Gap Distance and Wound Healing
  • Primary Flap Closure Versus Secondary Intention Wound Healing
  • Hard Tissue Grafting the Gap

Afternoon:

  • Risk of Apical Socket Perforation based upon CBCT Studies
  • Bone Thickness and Ridge Dimensional Change
  • Peri-implant Soft Tissue Thickness
  • Dual-Zone Socket Management
  • Bone Graft Material for Dual-Zone Therapy
  • Prosthetic Socket Sealing
  • Sulcular Bleeding at First Disconnection of an Implant Healing Abutment
  • Cement- Versus Screw-Retained Provisional and Definitive Restorations
  • Angulated Screw Channel Abutments
  • Platform Switching
  • Co-Axial Versus Uniaxial Implants
  • Clinical Case Examples

Thursday
November 5, 2026

Immediate implant placement into anterior and posterior extraction sockets with co-axial and ultrawide diameter implants

Morning

  • Surgical and Restorative Management of Molar Extraction Sockets
  • Tooth Extraction techniques for Multi-Rooted Teeth
  • Utilization of special implant designs for molar sockets
  • Molar Socket Classification
  • Implant Placement into Molar Extraction Sockets
  • How to deal with gap distances
  • When to graft around molar implants
  • How to deal with molar sockets with dehiscence defects
  • Timing of loading
  • Fabrication and use of custom healing abutments

Afternoon Hands-On:

  • Discussion and demonstration of atraumatic tooth removal without flap elevation
  • Techniques using co-axial implants placed into maxillary anterior extraction sockets
  • Provisional crown restoration fabrication and custom healing abutment on co-axial implant
  • Techniques used to remove multirooted teeth through tooth sectioning
  • Placement of ultrawide implants into molar extraction sockets
  • Custom healing abutment fabrication on ultrawide diameter implant
  • Use of Pre-formed Ovate Pontics (POP)

Friday
November 6, 2026

Interdisciplinary Management of Esthetic Problem Cases

Morning

  • When to Remove or Save and Remediate Implants in the Esthetic Zone
  • Connective tissue grafting and type
  • Double grafting technique
  • Triple grafting technique
  • Angled screw channel abutments with uniaxial implants
  • Loss of papilla
  • Black triangle problems

Afternoon

  • Integration of periodontics, orthodontics and restorative dentistry
  • Pink solutions versus grafting
  • Ridge augmentation procedures
  • Types of bone graft materials for each situation
  • Type of membranes
  • Splinting to natural teeth
  • When and how to do it to prevent intrusion
  • Long term growth and changes in adult that can effect your esthetic outcomes
  • Proper sequence of therapy to maximize outcomes
 

Clinical Video 'Pearls'

Access our exclusive online educational videos for one year after completion of this course. These are 5-minute instructional videos recorded by Dr. Chu and Dr. Tarnow on various surgical, restorative, and esthetic topics.

Textbook included

All participants will take home a copy of The Single Tooth Implant, co-authored by Dr. Tarnow and Dr. Chu.

Testimonials

Hear from real course participants.