Advanced Digital and Biological Treatment Planning

Esthetics, Perio-Prosthetics and Implants

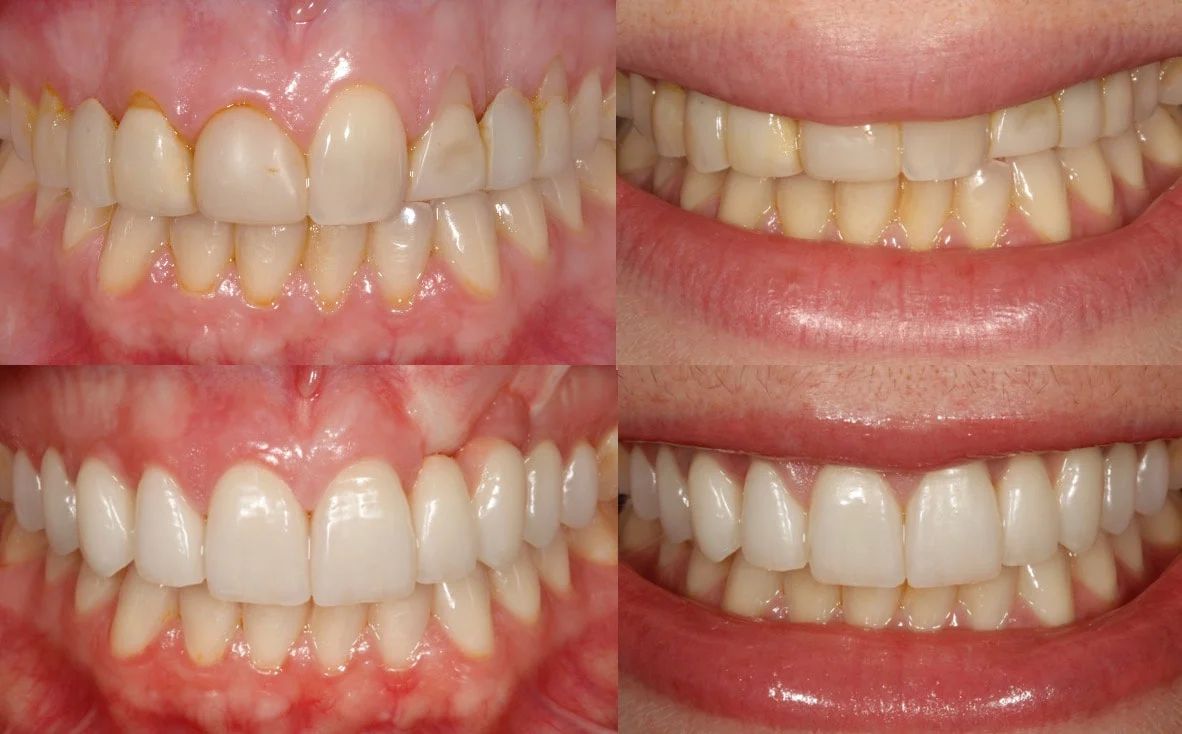
Take part in an interactive course with hands-on components taught directly by Dr. Dennis P. Tarnow and Dr. Stephen J. Chu, two of the world's leading implant and esthetic dentists. Course tuition covers all course materials, certificate for 12 CE credits, as well as coffee breaks and daily lunch.

Date & Time

Thursday, March 12 – Friday, March 13

Location

1251 Avenue of the Americas (6th Ave), New York, NY, 10020, 
Conference Level

CE

12 continuing education credits

Register Now

Course intro

Dennis and Stephen give a high-level overview of the course.

 

Course outline

The art and science of Treatment Planning is a critical part of our patients' treatment. It starts with determining the proper diagnosis then rendering the most appropriate treatment for the problem.

Thursday
March 12, 2026
9am–4pm

  • Digital Planning for ideal esthetics and proportion management
  • How to perform a clinical and digital esthetic mockup
  • Managing multiple missing teeth in the esthetic zone
  • When to save or extract a tooth and replace it with an implant
  • The proper sequence of therapy for the ideal outcome
  • How to provisionalize for the patients' comfort from start to end of treatment
  • What are the best procedures to rebuild and or maintain the bone and soft tissue architecture
  • Knowing when and if an implant should be placed immediately into fresh extraction sockets
  • How to use biometrics to establish the ideal tooth size relationships for esthetics and occlusion
  • Demonstration of how to use esthetic gauges
  • Should grafts be placed into gaps
  • Should ridge reduction be performed to do "all on 4" or "all on X" etc.
  • Central Lateral dilemma: 2 implant or 1 implant and a pontic

Friday
March 13, 2026
9am–4pm

  • Hands-on demonstration and use of esthetic gauges
  • How to use digital dentistry to expedite treatment plans
  • How to use pink ceramic properly versus rebuilding the patient’s own tissues to avoid using prosthetic pink in the final restoration
  • How does the medical status of the patient modify the treatment plan
  • When should an overdenture be used instead of a fixed solution
  • What styles of occlusion should be used for implant supported cases
  • When and how to splint teeth to implants
  • How and when to treat peri-implantitis
  • How to repair existing esthetic problem areas
  • How to use digital dentistry to expedite treatment plans
  • How to do serial extraction treatment instead of ridge reduction for full arch treatment
 

Clinical Video 'Pearls'

Access our exclusive online educational videos for one year after completion of this course. These are 5-minute instructional videos recorded by Dr. Chu and Dr. Tarnow on various surgical, restorative, and esthetic topics.